Skip links

Carillas Dentales en Madrid: Tipos, Precio, Experiencia y FAQ

Por el equipo de Clínica Dental Delgado y Delgado | Estética Dental

Carillas Dentales en Madrid: Tipos, Precio, Experiencia y FAQ

Las carillas dentales se han consolidado como uno de los tratamientos de estética dental más demandados y efectivos en Madrid. En la Clínica Dental Delgado y Delgado, contamos con más de 42 años de experiencia diseñando sonrisas en pleno centro de la capital. Entendemos que cada paciente es único, con necesidades diferentes y merece una solución a medida que refleje su personalidad y realce su belleza natural. 

Las carillas dentales son finas láminas, fabricadas en materiales de alta calidad como la porcelana o el composite, que se adhieren a la cara visible de los dientes para corregir una amplia variedad de imperfecciones estéticas. Desde cambiar el color y la forma de los dientes hasta cerrar pequeños espacios o disimular fracturas, las carillas ofrecen una transformación radical de la sonrisa de una manera rápida, predecible y mínimamente invasiva. En nuestra clínica en Madrid, combinamos la destreza, la tecnología más avanzada y la estética para diseñar y colocar carillas que no solo son bonitas, sino también funcionales y duraderas.

¿Qué son exactamente las Carillas Dentales?

Las carillas dentales son unas delgadas piezas que se colocan en la superficie frontal de los dientes. Piensa en ellas como una nueva apariencia para tus dientes, capaz de ocultar problemas de color, forma, tamaño o alineación leve. Su principal objetivo es estético, pero también pueden aportar un refuerzo estructural a dientes debilitados.

A diferencia de las coronas dentales, que cubren todo el diente, las carillas son una opción más conservadora, ya que en muchos casos requieren una mínima o nula preparación del esmalte dental. Esto las convierte en la opción ideal para pacientes que desean una mejora significativa de su sonrisa sin someterse a procedimientos más invasivos.

Tipos de Carillas Dentales: ¿Composite o Porcelana?

Una de las decisiones más importantes, que tomarás junto a tu especialista en estética dental en Madrid, es la elección del material de tus carillas. En la Clínica Delgado y Delgado, trabajamos con dos materiales de última generación: el composite y la porcelana. Cada uno tiene sus propias características, ventajas e indicaciones.

Carillas de Composite: Precisión en una Sola Sesión

Las carillas de composite están elaboradas con una resina sintética de alta resistencia que se moldea directamente sobre el diente. El odontólogo aplica el material por capas, moldeando la forma, el tamaño y el color que el paciente desea en cada uno de los dientes que lleven carillas.

Ventajas de las carillas de composite:

  • Rapidez: Generalmente, se pueden colocar en una única visita a nuestra clínica en Madrid, lo que te permite disfrutar de tu nueva sonrisa de inmediato.
  • Mínimamente invasivas: En la mayoría de los casos, no es necesario limar el esmalte dental, preservando la estructura natural de tus dientes.
  • Fácilmente reparables: Si una carilla de composite se astilla o se daña, puede repararse de forma sencilla en la propia clínica.
  • Coste más asequible: Suelen tener un precio inferior al de las carillas de porcelana, lo que las convierte en una excelente opción para presupuestos más ajustados.

Consideraciones sobre las carillas de composite:

Con el tiempo, pueden tender a la tinción si no se mantiene una higiene rigurosa y se abusa de alimentos y bebidas con alta pigmentación como el café, el vino tinto o el tabaco. Su durabilidad, aunque buena, es inferior a la de las carillas de porcelana, estimándose una vida útil de entre 5 y 10 años con los cuidados adecuados.

Carillas de Porcelana: Estética y Durabilidad

Las carillas de porcelana se fabrican a medida en un laboratorio dental a partir de impresiones precisas de tus dientes. En Clínica Delgado y Delgado, utilizamos materiales cerámicos de última generación, como el disilicato de litio o la alúmina, que ofrecen una resistencia y una belleza única.

Ventajas de las carillas de porcelana:

  • Estética superior: La porcelana tiene una translucidez y un brillo muy similares al del esmalte natural, lo que proporciona un resultado realista e imperceptible.
  • No se tiñen: Este material no se ve afectado por las manchas, por lo que el color de tus carillas permanecerá inalterable con el paso del tiempo.
  • Máxima durabilidad: Son extremadamente resistentes al desgaste y a las fracturas. Con un cuidado adecuado, pueden durar entre 15 y 20 años, e incluso más.
  • Biocompatibilidad: La porcelana es un material muy bien tolerado por los tejidos gingivales, lo que ayuda a mantener unas encías sanas.

Consideraciones sobre las carillas de porcelana:

El proceso de colocación requiere al menos dos visitas a nuestra clínica en Madrid. En la primera, se preparan los dientes (si es necesario un mínimo tallado) y se toman las impresiones. En la segunda, se colocan las carillas definitivas. Su coste es superior al de las de composite, reflejando la alta calidad del material y el trabajo de laboratorio que conllevan.

¿Soy Candidato para las Carillas Dentales en Madrid?

Las carillas dentales son una solución versátil para una amplia gama de problemas estéticos. Si te identificas con alguna de las siguientes situaciones, es muy probable que seas un buen candidato para este tratamiento:

  • Dientes con manchas o tinciones: Para aquellas tinciones severas, como las causadas por tetraciclinas o fluorosis, que no responden al blanqueamiento dental.
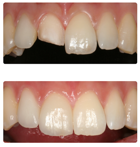
  • Dientes desgastados o fracturados: Las carillas pueden restaurar la longitud y la forma original de los dientes que han sufrido un desgaste leve o pequeñas fracturas.
antes y despues carillas dental diente fracturado en madrid
  • Diastemas o espacios entre los dientes: Son una excelente opción para cerrar pequeños espacios interdentales y lograr una sonrisa más uniforme.
  • Dientes con formas o tamaños irregulares: Si tienes dientes conoides (en forma de cono) o de un tamaño desproporcionado respecto al resto, las carillas pueden armonizar tu sonrisa.
  • Ligeras malposiciones dentales: En casos de dientes ligeramente torcidos o apiñados, las carillas pueden ofrecer una alternativa a la ortodoncia, siempre y cuando la oclusión sea correcta.

Es importante destacar que, para poder colocar carillas dentales, es fundamental tener una buena salud bucodental. Antes de iniciar el tratamiento, en la Clínica Delgado y Delgado nos aseguraremos de que no existen caries, enfermedades de las encías u otros problemas que deban ser tratados previamente.

El Proceso de Diseño de Sonrisa en Clínica Delgado y Delgado

La obtención de una sonrisa perfecta con carillas dentales en nuestra clínica de Madrid es un proceso meticuloso y personalizado que se desarrolla en varias fases:

  1. Primera Visita y Diagnóstico Personalizado

Comenzamos con una consulta en la que escucharemos atentamente tus deseos y expectativas. Realizaremos un examen bucodental completo, que incluirá radiografías y fotografías. Gracias a nuestra apuesta por la odontología digital, utilizaremos un escáner intraoral para obtener un modelo 3D de tu boca.

  1. Diseño Digital de Sonrisa (Digital Smile Design – DSD):

Mediante un software avanzado de diseño de sonrisa, te mostraremos una simulación de cómo quedarán las carillas en tu boca antes de empezar el tratamiento. Podrás participar activamente en el diseño, eligiendo la forma, el tamaño y el color de tus futuros dientes, siempre con nuestro asesoramiento experto para lograr un resultado natural y armónico con tus rasgos faciales.

  1. Preparación y Colocación:

Si has optado por carillas de porcelana, en la siguiente cita se procederá a una mínima preparación de la superficie dental, si fuera necesario, para asegurar una correcta adhesión. Tomaremos las impresiones definitivas que se enviarán al laboratorio para la confección de tus carillas a medida. Si es necesario, mientras tanto, llevarás unas carillas provisionales.

En el caso de las carillas de composite, todo el proceso de estratificación y modelado se realizará en esta misma cita.

  1. Cementado Final:

En la última visita, y tras probar que el ajuste y la estética de las carillas de porcelana son perfectos, se procederá a su cementado definitivo utilizando adhesivos de alta resistencia. Puliremos los márgenes y realizaremos los ajustes finales para garantizar una transición imperceptible entre la carilla y el diente.

Preguntas Frecuentes sobre Carillas Dentales

Es natural tener dudas antes de comenzar un tratamiento de estética dental. A continuación, respondemos a las preguntas más frecuentes que recibimos en nuestra clínica de Madrid:

  • ¿Duele ponerse carillas dentales? No. El procedimiento es indoloro. En el caso de las carillas que requieren un mínimo tallado, se puede utilizar anestesia local para garantizar el máximo confort del paciente, aunque en muchos casos ni siquiera es necesaria.
  • ¿Cuánto duran las carillas dentales? La durabilidad depende del material y de los cuidados del paciente. Las de composite pueden durar entre 5 y 10 años, mientras que las de porcelana pueden superar los 15 o 20 años en perfecto estado.
  • ¿Qué cuidados necesitan las carillas dentales? El mantenimiento es sencillo y similar al de los dientes naturales. Es fundamental mantener una excelente higiene bucodental, con cepillado después de cada comida, uso de hilo dental y colutorio. Se deben evitar hábitos como morderse las uñas o usar los dientes para abrir objetos. También es importante acudir a las revisiones periódicas en nuestra clínica.
  • ¿Se pueden manchar o cambiar de color? Las carillas de porcelana son altamente resistentes a las manchas y no cambian de color. Las de composite pueden pigmentarse con el tiempo, pero se pueden pulir en la clínica para devolverles su brillo original.
  • ¿Se puede comer de todo con las carillas? Sí, se puede llevar una vida completamente normal. Sin embargo, al igual que con los dientes naturales, se recomienda tener precaución al morder alimentos extremadamente duros, como frutos secos con cáscara o hielo.
  • ¿Cuál es el precio de las carillas dentales en Madrid? El precio varía en función del material elegido (composite o porcelana), el número de carillas a colocar y la complejidad del caso. En la Clínica Delgado y Delgado, ofrecemos una primera visita gratuita donde te proporcionaremos un presupuesto detallado y sin compromiso, así como opciones de financiación a medida.
Clínica dental Delgado y Delgado Barrio de Salamanca dentista en Madrid

Posibles Problemas y Cómo los Evitamos en Clínica Delgado y Delgado

Aunque las carillas dentales son un tratamiento muy seguro y con una alta tasa de éxito, es importante conocer los posibles problemas que pueden surgir y cómo un equipo experimentado como el nuestro los previene:

  • Sensibilidad dental: Una ligera sensibilidad post-tratamiento es normal y suele desaparecer en pocos días. Un tallado dental conservador y el uso de materiales de calidad minimizan este riesgo.
  • Inflamación de las encías: Un ajuste impreciso de la carilla puede irritar la encía. En nuestra clínica, la precisión del escaneado digital y el meticuloso trabajo de laboratorio aseguran un sellado perfecto que protege la salud gingival.
  • Fracturas o desprendimientos: La elección de materiales de alta resistencia como el disilicato de litio y una correcta técnica de adhesión son clave para prevenir roturas. Además, en casos de pacientes con bruxismo (rechinamiento de dientes), recomendamos el uso de una férula de descarga nocturna para proteger tanto las carillas como los dientes naturales.
  • Aspecto artificial: El temido «efecto chicle» o de dientes demasiado blancos y uniformes es fruto de una mala planificación. Nuestro enfoque en el diseño de sonrisa personalizado, teniendo en cuenta la edad, el sexo, los rasgos faciales y el color de los dientes adyacentes, garantiza un resultado natural y elegante.

¿Por qué elegir la Clínica Delgado y Delgado para tus Carillas Dentales en Madrid?

En un mercado con una amplia oferta, la elección de la clínica adecuada es el factor más determinante para el éxito de tu tratamiento. En la Clínica Dental Delgado y Delgado, te ofrecemos:

  • Experiencia y Confianza: Más de cuatro décadas dedicadas a la salud y estética dental en Madrid son nuestra mejor carta de presentación.
  • Equipo Especializado: Nuestros odontólogos están en constante formación para ofrecerte las técnicas más avanzadas y los mejores materiales del mercado.
  • Tecnología de Última Generación: Apostamos por la odontología digital, el diseño de sonrisa por ordenador y materiales de primera línea para garantizar resultados predecibles, precisos y duraderos.
  • Trato Humano y Personalizado: Para nosotros, cada paciente es una persona con unas necesidades y deseos únicos. Te escuchamos, te asesoramos y te acompañamos en cada paso del proceso.
  • Resultados Naturales: Nuestra filosofía se basa en realzar tu belleza natural, no en transformarla artificialmente. Creamos sonrisas que se integran perfectamente en tu rostro y reflejan tu personalidad.

Si estás considerando un tratamiento con carillas dentales en Madrid, te invitamos a que nos visites. Ven a la Clínica Dental Delgado y Delgado y descubre cómo la combinación de experiencia, tecnología y saber hacer puede ayudarte a conseguir la sonrisa que estás buscando. 

    Nombre y Apellidos*

    Email*

    Teléfono*

    ¿En qué momento prefieres que te llamemos?

    También te puede interesar

    Consulta gratuita