Skip links

Carillas dentales en Madrid

— Clínica Dental especialista en carillas

¿Qué son las carillas?

Las carillas, ya sean de cerámica o de composite nos permiten cambiar de forma rápida el color y la forma de los dientes.

Las carillas de Composite nos van a permitir reconstruir dientes rotos, lograr cambios en forma y tamaño, mejorar en el blanco de nuestros dientes, etc.

Mediante la utilización de composites de última generación y diferentes tintes, moldeamos la forma, tamaño y color que el paciente desea en cada uno de los dientes que lleven carillas.

Las carillas de porcelana nos permiten cambiar la forma, tamaño y color de tus dientes para conseguir la sonrisa que siempre has soñado.

Se trata de unas láminas que diseñamos con el laboratorio exclusivas para tu sonrisa de manera que buscamos lo que mejor se adapta a los rasgos de tu cara.

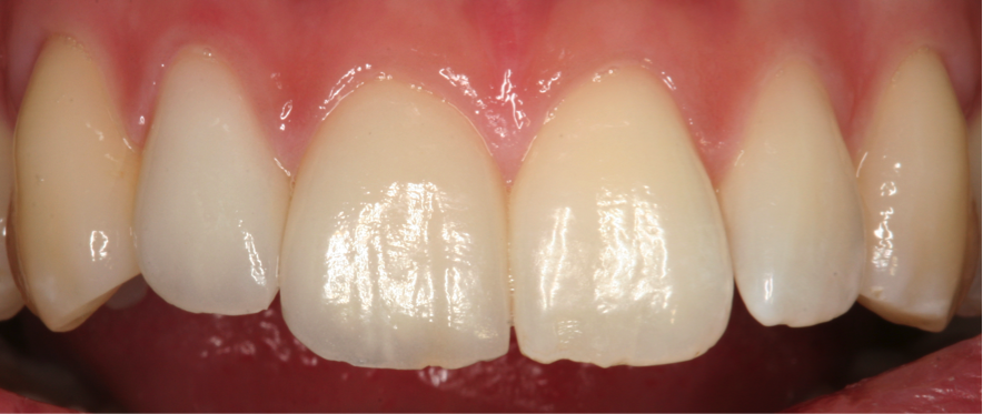
— Carillas dentales de porcelana al mejor precio

Carillas dentales de porcelana

Las carillas de porcelana nos permiten cambiar la forma, tamaño y color de tus dientes para conseguir la sonrisa que siempre has soñado.Se trata de unas láminas que diseñamos con el laboratorio exclusivas para tu sonrisa de manera que buscamos lo que mejor se adapta a los rasgos de tu cara y sonrisa.

Utilizamos los mejores materiales en resistencia y estética como la alúmina y el disilicato de litio, que nos permiten lograr unos resultados que incluso mejorarán tus expectativas. Presentan una serie de ventajas sobre las carillas de Composite.

Ventajas de las carillas de porcelana

El diseño es por ordenador y permite que cada paciente diseñe junto a nosotros como quiere su sonrisa.

Escoge el color y forma que desees.

Con el paso del tiempo, las carillas no pierden su color ni se vuelven opacas, así que estarán siempre como el primer día.

Permiten una gran resistencia.

Hay que tener en cuenta

Para este tipo de carillas disponemos de dos sistemas, uno en el cual no hay que preparar ni retocar la superficie del diente, y otro en el que hay que pulir la superficie para recibir la carilla.

Una vez colocadas, para realizar cambios hay que tener en cuenta que hay que descementarlas y retocarlas fuera de boca, lo que siempre lleva más tiempo y es más laborioso.

— Carillas dentales de composite al mejor precio

Carillas dentales de Composite

Las carillas de Composite nos van a permitir reconstruir dientes rotos, lograr cambios en forma y tamaño, mejorar en el blanco de nuestros dientes etc.

Mediante la utilización de composites de última generación y diferentes tintes, moldeamos la forma, tamaño y color que el paciente desea en cada uno de los dientes que lleven carillas.

Ventajas de las carillas de compiste

El paciente decide el tamaño, forma y color de sus dientes.

Se realizan en una sola sesión.

No necesitamos desgastar la superficie de los dientes para hacerlas.

Se pueden cambiar y modificar.

No requiere anestesia.

Hay que tener en cuenta

Con el tiempo los composites, si no se cuidan bien, hay que retocarlos y pulirlos al cabo de unos años.

- Carillas dentales al mejor precio en Madrid

Pide tu cita

    Nombre y Apellidos*

    Email*

    Teléfono*

    ¿En qué momento prefieres que te llamemos?

    Consulta gratuita