En Clínica Delgado & Delgado, en pleno centro de Madrid, ofrecemos blanqueamiento dental profesional con las técnicas más seguras y eficaces del mercado. Nuestra opción In-Office utiliza geles de peróxido activados con la lámpara LED Philips Zoom, una tecnología clínica diseñada para acelerar y potenciar el efecto blanqueador, logrando resultados visibles en la misma sesión.
¿Por qué elegir un blanqueamiento profesional en clínica?
- Resultados más rápidos y controlados: los tratamientos en clínica permiten emplear concentraciones profesionales de peróxido y activar el gel con lámparas específicas para conseguir varios grados de aclarado en menos tiempo.
- Seguridad y supervisión: en clínica hacemos una revisión previa para evaluar tu salud dental, protegemos encías y tejidos blandos, y adaptamos el protocolo a tus necesidades.
- Menos riesgos y mejor experiencia: la experiencia del equipo odontológico permite minimizar y tratar efectos secundarios habituales como la sensibilidad dental o las irritaciones gingivales. Estudios revisados concluyen que, aplicados correctamente, los agentes blanqueadores son seguros y efectivos.
Tipos de blanqueamiento dental: ¿cuál necesitas? ¿Qué diferencia hay?
Blanqueamiento profesional en clínica (In-Office)
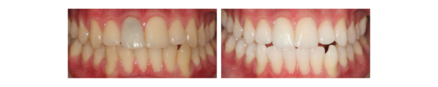
Se aplica un gel de peróxido de hidrógeno sobre la superficie dental y se activa con la lámpara LED Philips Zoom para acelerar la reacción. En función del objetivo se realizan una o varias aplicaciones de 15 minutos. Es ideal cuando se busca un aclarado notable en una o pocas sesiones.
Blanqueamiento dental en casa (In-Home)
Consiste en férulas hechas a medida y geles con peróxido de carbamida a concentraciones adecuadas para uso en casa. El paciente sigue una pauta diaria durante unas semanas hasta alcanzar el tono deseado.
Blanqueamiento combinado (In-Office + In-Home)
La combinación de una sesión en clínica con la lámpara Philips Zoom seguida de un tratamiento en casa suele ofrecer los resultados más estables y naturales a medio plazo. Philips y la evidencia clínica recomiendan esta estrategia para maximizar el aclarado y prolongar los efectos.
Cómo actúa el gel blanqueador en un blanqueamiento profesional
Los geles con peróxido penetran el esmalte y alcanzan la dentina, donde las moléculas oxidan los pigmentos responsables del color. El proceso es químico: las moléculas liberadas fragmentan las moléculas que producen las manchas, lo que se traduce en un cambio de color visible. La concentración del peróxido y el tiempo de aplicación determinan la eficiencia y la posible sensibilidad.
Seguridad y contraindicaciones de un blanqueamiento: qué debes saber
- Evaluación previa obligatoria: examinamos tu salud dental (caries, restauraciones, encías) antes de proponer el blanqueamiento. No todos los casos son candidatos inmediatos.
- Efectos secundarios frecuentes y temporales: sensibilidad dental y leve irritación gingival son los efectos más comunes y suelen desaparecer a las horas; se controlan con pautas y productos post-tratamiento. Aplicados por profesionales y siguiendo protocolos, los riesgos son mínimos.
- No es eficaz para todos los materiales dentales: coronas, carillas o empastes no se blanquean; puede ser necesario sustituir restauraciones para igualar el color tras el blanqueamiento.
Paso a paso del blanqueamiento en Clínica Delgado & Delgado
- Primera visita — diagnóstico: evaluación, fotografía intraoral y elección del objetivo estético.
- Limpieza y preparación: higiene profesional si procede; aislamiento gingival y protección de tejidos blandos.
- Aplicación en clínica: colocación del gel de peróxido y activación con la lámpara LED Philips Zoom (sesiones de ~15 min por disparo). En muchos casos bastan 1–2 disparos, que se realizan en la misma sesión, para lograr el resultado buscado.
- Protocolo combinado con blanqueameinto en casa (opcional): entrega de férulas a medida y gel para uso nocturno o diurno durante 10–14 días para consolidar el resultado.
- Mantenimiento: recomendaciones dietéticas (evitar comidas y bebidas pigmentantes en 48–72 h), pasta para sensibilidad si fuera necesario y revisiones.
Duración del blanqueamiento dental y mantenimiento
El mantenimiento del blanco depende de hábitos (café, té, tabaco, vino tinto), higiene y cuidados. Muchos pacientes repiten o retocan el tratamiento a los 2-3 años según la respuesta individual; el uso de férulas de mantenimiento y pastas blanqueadoras con supervisión facilita conservar el tono.
Precio del blanqueamiento dental en Madrid y factores que lo condicionan
El coste varía según técnica (In-Office, In-Home o combinado), tiempo de sesión y si son necesarias limpiezas o restauraciones previas. En Clínica Delgado & Delgado realizamos una valoración personalizada para ofrecer un presupuesto ajustado y transparente.
Preguntas frecuentes (FAQ)
¿Duele el blanqueamiento con lámpara LED?
No, la mayor parte de pacientes únicamente experimenta sensibilidad pasajera; los protocolos actuales y los manejos preventivos reducen las molestias.
¿Es seguro el blanqueamiento para el esmalte?
Sí, siempre que se realice con productos sanitarios adecuados y bajo supervisión profesional, no hay evidencia de daño permanente al esmalte.
¿Cuánto tiempo dura la sesión de blanqueamiento dental profesional?
Una sesión completa incluye preparación y suele durar entre 60 y 90 minutos; el tiempo de activación con la lámpara consta de varios disparos de ~15 minutos cada uno.
Consulta con nuestros especialistas la mejor forma de realizar este tratamiento y consigue la sonrisa que estabas buscando en menos de una hora.

